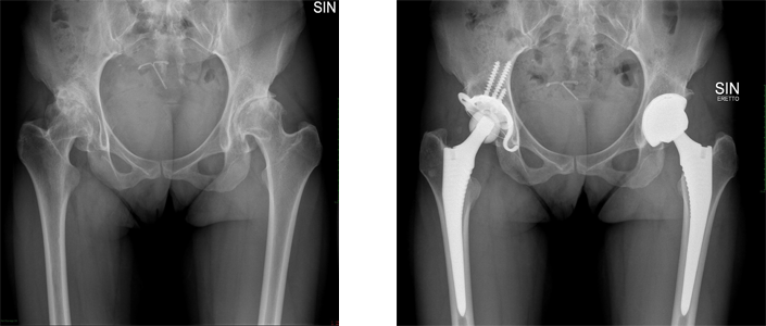
Artroplastica dell'anca
In seguito a fratture, a deformità diverse o ad altre malattie, l’articolazione dell’anca può essere distrutta in un modo irreversibile. Questa evoluzione dura spesso per un periodo lungo.
Nel corso del ventesimo secolo, e soprattutto dopo gli anni ’60, sono state sviluppate protesi che simulano la funzione dell’anca.
Benché queste protesi diano spesso un risultato funzionale eccellente dopo l’intervento, la sostituzione protetica dell’anca è conosciuta per uno scollamento progressivo degli impianti e altri problemi a lungo termine.

